SR431

XL Choroideremia (IIIA1a)

Male

Male

SR431

XL Choroideremia (IIIA1a)

Male

Male

Highlighted Images

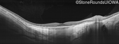
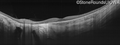
Age at visit: 30 years
OD OS

History

This 30 year old man has had some difficulty seeing in dim light for the past few years.

Pedigree

Age at visit: 30 years
Age at visit: 32 years
Age at visit: 34 years
Age at visit: 36 years
Age at visit: 38 years

Diagnosis & molecular findings

Disease Gene Allele 1 variant(s) Allele 2 variant(s) Inheritance mode
XL Choroideremia CHM Arg253Stop CGA>TGA   XL
Disease:
Gene:
Allele 1:
Arg253Stop CGA>TGA
Allele 2:
 
Inheritance:
XL
Cite this case