The parents of this 24 year old woman first noticed that she had poor peripheral vision when she was two years of age. She also had difficulty seeing in dim light.
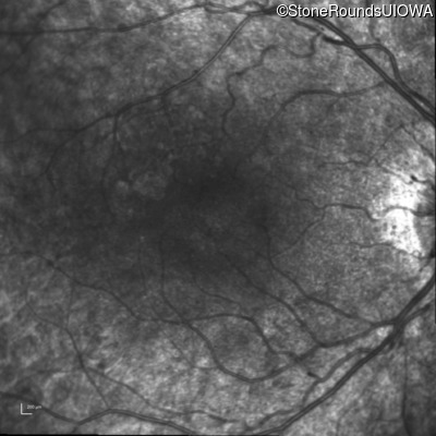
| Age at visit: 24 years |
| Age at visit: 25 years |
| OD | OS | ||
|---|---|---|---|
| OD | OS | ||
|---|---|---|---|
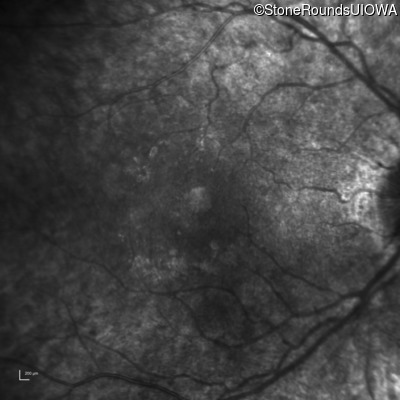
| Age at visit: 27 years |
| OD | OS | ||
|---|---|---|---|
| OD | OS | ||
|---|---|---|---|