SR649

XL Choroideremia (IIIA1a)

Male

Male

SR649

XL Choroideremia (IIIA1a)

Male

Male

Highlighted Images

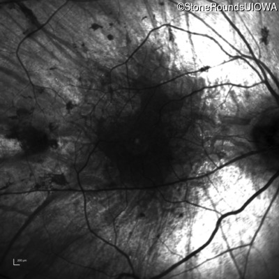
Age at visit: 36 years
OD OS

History

This 36-year-old man began to experience night blindness at age 10.

Pedigree

Age at visit: 10 years
Age at visit: 16 years
Age at visit: 19 years
Age at visit: 27 years
Age at visit: 36 years

Diagnosis & molecular findings

Disease Gene Allele 1 variant(s) Allele 2 variant(s) Inheritance mode
XL Choroideremia CHM Ser7 del12tcGGAGTTTGATGT   XL
Disease:
Gene:
Allele 1:
Ser7 del12tcGGAGTTTGATGT
Allele 2:
 
Inheritance:
XL
Cite this case