SR869

Occult Macular Dystrophy (IIE)

Female

Female

SR869

Occult Macular Dystrophy (IIE)

Female

Female

Highlighted Images

Age at visit: 70 years
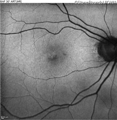
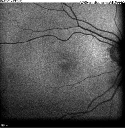
OD OS

History

This 70 year old woman first noticed some reduction in visual acuity in both eyes at age 45. Her visual acuity had been previously normal.

Color Vision:     Correctly identified 7/14 Ishihara pseudoisochromatic plates OU.
Refraction OD:     -1.75 +1.00 x 140
Refraction OS:     -1.25 +0.50 x 20

Pedigree

Teaching Points

The clinical features favoring the diagnosis of RP1L1-associated occult macular dystrophy include: reduced acuity with a near-normal ophthalmoscopic appearance, a history of normal acuity in childhood; and, a "moth-eaten" appearance of the macular ellipsoid zone on OCT.

Age at visit: 70 years
Age at visit: 72 years
Age at visit: 75 years
Age at visit: 77 years
Age at visit: 79 years
Age at visit: 82 years

Diagnosis & molecular findings

Disease Gene Allele 1 variant(s) Allele 2 variant(s) Inheritance mode
Occult Macular Dystrophy RP1L1 Arg45Trp CGG>TGG   AD
Gene:
Allele 1:
Arg45Trp CGG>TGG
Allele 2:
 
Inheritance:
AD
Cite this case