SR9716

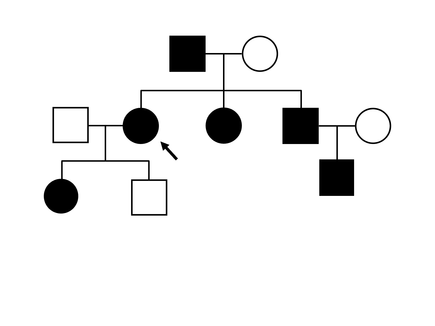
AD Familial Exudative Vitreoretinopathy (IIIE2b)

Female

Female

SR9716

AD Familial Exudative Vitreoretinopathy (IIIE2b)

Female

Female

Highlighted Images

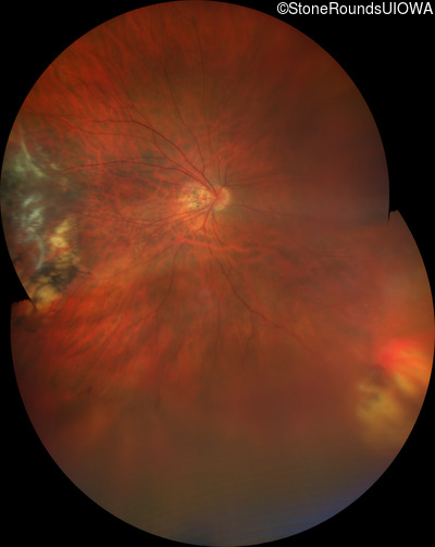
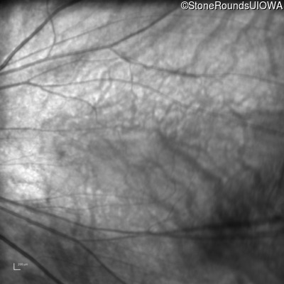
Age at visit: 32 years
OD OS

History

This 32 year old woman has had subnormal acuity (right eye worse than left eye) since very early childhood.

Pedigree

Age at visit: 18 years
Age at visit: 28 years
Age at visit: 32 years
Age at visit: 38 years
Age at visit: 40 years
Age at visit: 46 years
Age at visit: 51 years
Age at visit: 56 years
Age at visit: 65 years
Age at visit: 66 years
Age at visit: 71 years
Age at visit: 71 years (Visit 2)
Age at visit: 73 years
Age at visit: 74 years
Age at visit: 74 years (Visit 2)
Age at visit: 75 years
Age at visit: 76 years
Age at visit: 77 years

Diagnosis & molecular findings

Disease Gene Allele 1 variant(s) Allele 2 variant(s) Inheritance mode
AD Familial Exudative Vitreoretinopathy TSPAN12 Arg50Trp AG(G)>TG(G)   AD
Gene:
Allele 1:
Arg50Trp AG(G)>TG(G)
Allele 2:
 
Inheritance:
AD
Cite this case