Loading...

SR598

Stickler Syndrome (IIIE1)

Female

Female

SR598

Stickler Syndrome (IIIE1)

Female

Female

Visit at age: 28 years

Goldmann Visual Field - Right - 20/50

Exemplar

Goldmann Visual Field - Left - 20/40

Exemplar

Visit at age: 28 years (Visit 2)

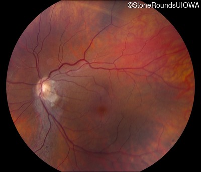
Fundus Photography - Right - 20/60 -2

Exemplar

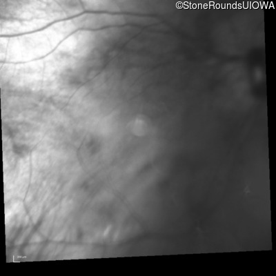
Fundus Photography - Left - 20/30

Exemplar

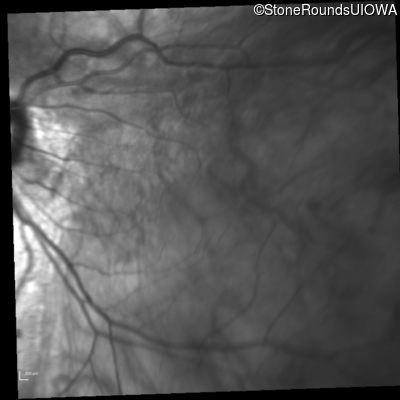
Fluorescein Angiography - Right - 20/60 -2

Exemplar

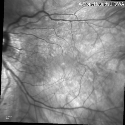
Fluorescein Angiography - Left - 20/30

Exemplar

Visit at age: 29 years

Goldmann Visual Field - Right - 20/40

Exemplar

Goldmann Visual Field - Left - 20/50

Exemplar

Visit at age: 32 years

Goldmann Visual Field - Right - 20/30 -2

Exemplar

Goldmann Visual Field - Left - 20/25 -2

Exemplar

Visit at age: 36 years

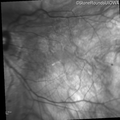
Fundus Photography - Right - 20/40 +2

Exemplar

Fundus Photography - Left - 20/25 +2

Exemplar

Optical Coherence Tomography - Right - 20/40 +2

Exemplar / OCT Stack
OCT Stack

Optical Coherence Tomography - Left - 20/25 +2

Exemplar / OCT Stack
OCT Stack
OCT Stack
OCT Stack
OCT Stack

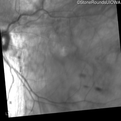
Infrared Fundus Photograph - Right - 20/40 +2

Exemplar

Infrared Fundus Photograph - Left - 20/25 +2

Exemplar

Visit at age: 37 years

Fundus Photography - Right - 20/30

Exemplar

Fundus Photography - Left - 20/25 -2

Exemplar

Goldmann Visual Field - Right - 20/30

Exemplar

Goldmann Visual Field - Left - 20/25 -2

Exemplar

Visit at age: 38 years

Optical Coherence Tomography - Right - 20/25 -3

Exemplar / OCT Stack
OCT Stack
OCT Stack
OCT Stack

Optical Coherence Tomography - Left - 20/25 -2

Exemplar / OCT Stack
OCT Stack

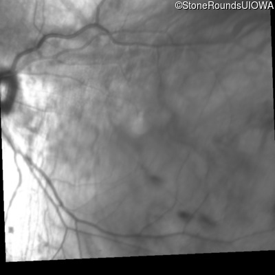
Infrared Fundus Photograph - Right - 20/25 -3

Exemplar

Infrared Fundus Photograph - Left - 20/25 -2

Exemplar

Visit at age: 39 years

Optical Coherence Tomography - Right - 20/30 +2

Exemplar / OCT Stack
OCT Stack

Optical Coherence Tomography - Left - 20/30 +1

Exemplar / OCT Stack
OCT Stack

Infrared Fundus Photograph - Right - 20/30 +2

Exemplar

Infrared Fundus Photograph - Left - 20/30 +1

Exemplar

Visit at age: 41 years

Fundus Photography - Right - 20/30 +2

Exemplar

Fundus Photography - Left - 20/30 +2

Exemplar

Fundus Montage - Right - 20/30 +2

Exemplar

Fundus Montage - Left - 20/30 +2

Exemplar

Visit at age: 41 years (Visit 2)

Fundus Photography - Right - 20/32 -1

Exemplar

Fundus Photography - Left - 20/32

Exemplar

Fundus Montage - Right - 20/32 -1

Exemplar

Fundus Montage - Left - 20/32

Exemplar

Optical Coherence Tomography - Right - 20/32 -1

Exemplar / OCT Stack
OCT Stack

Optical Coherence Tomography - Left - 20/32

Exemplar / OCT Stack
OCT Stack
OCT Stack

Infrared Fundus Photograph - Right - 20/32 -1

Exemplar

Infrared Fundus Photograph - Left - 20/32

Exemplar

Visit at age: 42 years

Fundus Photography - Right - 20/40 +2

Exemplar

Fundus Photography - Left - 20/30 +2

Exemplar

Fundus Montage - Right - 20/40 +2

Exemplar

Fundus Montage - Left - 20/30 +2

Exemplar

Optical Coherence Tomography - Right - 20/40 +2

Exemplar / OCT Stack
OCT Stack
OCT Stack
OCT Stack

Optical Coherence Tomography - Left - 20/30 +2

Exemplar / OCT Stack
OCT Stack
OCT Stack
OCT Stack

Infrared Fundus Photograph - Right - 20/40 +2

Exemplar

Infrared Fundus Photograph - Left - 20/30 +2

Exemplar

Visit at age: 42 years (Visit 2)

Fundus Photography - Right - 20/30 -2

Exemplar

Fundus Photography - Left - 20/25 -2

Exemplar

Optical Coherence Tomography - Right - 20/30 -2

Exemplar / OCT Stack
OCT Stack
OCT Stack

Optical Coherence Tomography - Left - 20/25 -2

Exemplar / OCT Stack
OCT Stack
OCT Stack

Infrared Fundus Photograph - Right - 20/30 -2

Exemplar

Infrared Fundus Photograph - Left - 20/25 -2

Exemplar

Visit at age: 43 years

Optical Coherence Tomography - Right - 20/25 -1

Exemplar / OCT Stack
OCT Stack
OCT Stack

Optical Coherence Tomography - Left - 20/30 -2

Exemplar / OCT Stack
OCT Stack
OCT Stack

Infrared Fundus Photograph - Right - 20/25 -1

Exemplar

Infrared Fundus Photograph - Left - 20/30 -2

Exemplar

Visit at age: 44 years

Optical Coherence Tomography - Right - 20/30 -1

Exemplar / OCT Stack
OCT Stack
OCT Stack

Optical Coherence Tomography - Left - 20/40

Exemplar / OCT Stack
OCT Stack
OCT Stack

Infrared Fundus Photograph - Right - 20/30 -1

Exemplar

Infrared Fundus Photograph - Left - 20/40

Exemplar

Visit at age: 45 years

Optical Coherence Tomography - Right - 20/20 -3

Exemplar / OCT Stack
OCT Stack
OCT Stack

Optical Coherence Tomography - Left - 20/25 +2

Exemplar / OCT Stack
OCT Stack
OCT Stack

Infrared Fundus Photograph - Right - 20/20 -3

Exemplar

Infrared Fundus Photograph - Left - 20/25 +2

Exemplar

Visit at age: 46 years

Optical Coherence Tomography - Right - 20/25 -3

Exemplar / OCT Stack
OCT Stack
OCT Stack

Optical Coherence Tomography - Left - 20/30 +1

Exemplar / OCT Stack
OCT Stack
OCT Stack

Infrared Fundus Photograph - Right - 20/25 -3

Exemplar

Infrared Fundus Photograph - Left - 20/30 +1

Exemplar

Visit at age: 47 years

Optical Coherence Tomography - Right - 20/30 +1

Exemplar / OCT Stack
OCT Stack
OCT Stack

Optical Coherence Tomography - Left - 20/25 +2

Exemplar / OCT Stack
OCT Stack
OCT Stack

Infrared Fundus Photograph - Right - 20/30 +1

Exemplar

Infrared Fundus Photograph - Left - 20/25 +2

Exemplar

Visit at age: 47 years (Visit 2)

Fundus Photography - Right - 20/32 -1

Exemplar

Fundus Photography - Left - 20/32

Exemplar

Optical Coherence Tomography - Right - 20/32 -1

Exemplar / OCT Stack
OCT Stack
OCT Stack

Optical Coherence Tomography - Left - 20/32

Exemplar / OCT Stack
OCT Stack
OCT Stack

Infrared Fundus Photograph - Right - 20/32 -1

Exemplar

Infrared Fundus Photograph - Left - 20/32

Exemplar

Visit at age: 48 years

Fundus Photography - Right - 20/40 +1

Exemplar

Fundus Photography - Left - 20/40 +1

Exemplar

Optical Coherence Tomography - Right - 20/40 +1

Exemplar / OCT Stack
OCT Stack
OCT Stack

Optical Coherence Tomography - Left - 20/40 +1

Exemplar / OCT Stack
OCT Stack
OCT Stack

Infrared Fundus Photograph - Right - 20/40 +1

Exemplar

Infrared Fundus Photograph - Left - 20/40 +1

Exemplar

Visit at age: 49 years

Optical Coherence Tomography - Right - 20/40 +2

Exemplar / OCT Stack
OCT Stack

Optical Coherence Tomography - Left - 20/32 +1

Exemplar / OCT Stack
OCT Stack

Infrared Fundus Photograph - Right - 20/40 +2

Exemplar

Infrared Fundus Photograph - Left - 20/32 +1

Exemplar

Case Level Images

Diagnosis & molecular findings

Disease Gene Allele 1 variant(s) Allele 2 variant(s) Inheritance mode
Stickler Syndrome COL2A1 Arg785Stop CGA>TGA   AD
Gene:
Allele 1:
Arg785Stop CGA>TGA
Allele 2:
 
Inheritance:
AD
Cite this case