Loading...

SR2703

Tuberous Sclerosis (IIID3)

Male

Male

SR2703

Student Mode

1

Tuberous Sclerosis (IIID3)

2

Male

Male

Visit at age: 4 years

Fundus Photography - Right - 20/30

Exemplar

Fundus Photography - Left - 20/30

Exemplar

Visit at age: 5 years

Fundus Photography - Right - 20/25

Exemplar

Fundus Photography - Left - 20/25

Exemplar

Visit at age: 8 years

Fundus Photography - Right - 20/25 +2 sc

Exemplar

Fundus Photography - Left - 20/20 -2 sc

Exemplar

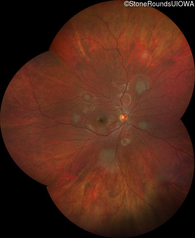
Fundus Montage - Right - 20/25 +2 sc

Exemplar

Fundus Montage - Left - 20/20 -2 sc

Exemplar

Visit at age: 9 years

Goldmann Visual Field - Right - 20/20 sc

Exemplar

Goldmann Visual Field - Left - 20/20 -2 sc

Exemplar

Visit at age: 10 years

Fundus Photography - Right - 20/20 -2 sc

Exemplar

Fundus Photography - Left - 20/20 -2 sc

Exemplar

Fundus Montage - Right - 20/20 -2 sc

Exemplar

Fundus Montage - Left - 20/20 -2 sc

Exemplar

Visit at age: 11 years

Fundus Photography - Right - 20/20 sc

Exemplar

Fundus Photography - Left - 20/20 -1 sc

Exemplar

Fundus Montage - Right - 20/20 sc

Exemplar

Fundus Montage - Left - 20/20 -1 sc

Exemplar

Visit at age: 12 years

Fundus Photography - Right - 20/20 sc

Exemplar

Fundus Photography - Left - 20/20 sc

Exemplar

Fundus Montage - Right - 20/20 sc

Exemplar

Fundus Montage - Left - 20/20 sc

Exemplar

Goldmann Visual Field - Right - 20/20 sc

Exemplar

Goldmann Visual Field - Left - 20/20 sc

Exemplar

Visit at age: 14 years

Fundus Photography - Right - 20/20 sc

Exemplar

Fundus Photography - Left - 20/20 sc

Exemplar

Fundus Montage - Right - 20/20 sc

Exemplar

Fundus Montage - Left - 20/20 sc

Exemplar

Goldmann Visual Field - Right - 20/20 sc

Exemplar

Goldmann Visual Field - Left - 20/20 sc

Exemplar

Visit at age: 15 years

Fundus Photography - Right - 20/20 -1 sc

Exemplar

Fundus Photography - Left - 20/20 -1 sc

Exemplar

Goldmann Visual Field - Right - 20/20 -1 sc

Exemplar

Goldmann Visual Field - Left - 20/20 -1 sc

Exemplar

Visit at age: 16 years

Fundus Photography - Right - 20/20 sc

Exemplar

Fundus Photography - Left - 20/20 -1 sc

Exemplar

Goldmann Visual Field - Right - 20/20 sc

Exemplar

Goldmann Visual Field - Left - 20/20 -1 sc

Exemplar

Visit at age: 17 years

Fundus Photography - Right - 20/20 sc

Exemplar

Fundus Photography - Left - 20/20 -2 sc

Exemplar

Fundus Montage - Right - 20/20 sc

Exemplar

Fundus Montage - Left - 20/20 -2 sc

Exemplar

Visit at age: 18 years

Fundus Photography - Right - 20/20 -1 sc

Exemplar

Fundus Photography - Left - 20/20 -1 sc

Exemplar

Optical Coherence Tomography - Right - 20/20 -1 sc

Exemplar / OCT Stack
OCT Stack
OCT Stack

Optical Coherence Tomography - Left - 20/20 -1 sc

Exemplar / OCT Stack
OCT Stack
OCT Stack

Infrared Fundus Photograph - Right - 20/20 -1 sc

Exemplar

Infrared Fundus Photograph - Left - 20/20 -1 sc

Exemplar

Case Level Images

Diagnosis & molecular findings

Disease Gene Allele 1 variant(s) Allele 2 variant(s) Inheritance mode
Tuberous Sclerosis TSC2 Glu1513Stop GAG>TAG   AD
Gene:
Allele 1:
Glu1513Stop GAG>TAG
Allele 2:
 
Inheritance:
AD
Cite this case