StoneRounds
Volunteer
Un-volunteer
Open Diagnosis Box
Leaderboard
StoneRounds
Disease Atlas
SR2703
SR:
Volunteer
Un-volunteer
Open Diagnosis Box
Leaderboard
Search
Not logged in
Log in
Register
Terms of Use
Join Teaching Session
Log in
Register
Terms of Use
Join Teaching Session
Search
StoneRounds
Disease Atlas
SR2703
JavaScript is disabled.
Without JavaScript enabled, this site will not function properly.
Please follow
these instructions
in order to enable JavaScript in your browser.
Case
SR2703
Change Format
Grid View
Download View
Student Mode
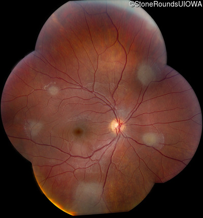
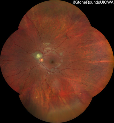
Tuberous Sclerosis (IIID3)
Male
Male
Hidden
SR2703
Change Format
Grid View
Download View
Student Mode
Tuberous Sclerosis (IIID3)
Male
Male
Highlighted Images
Age at visit:
8 years
OD
OS
20/25 +2 sc
20/20 -2 sc
Pedigree
Collapse
Expand Pedigree
Expand Visits
Age at visit:
4 years
OD
OS
20/30*
20/30*
Show more
*Acuities for this visit are inferred from other visits in this case.
Age at visit:
5 years
OD
OS
20/25
20/25
Show more
Age at visit:
8 years
OD
OS
20/25 +2 sc
20/20 -2 sc
Show more
OD
OS
20/25 +2 sc
20/20 -2 sc
Age at visit:
9 years
OD
OS
20/20 sc
20/20 -2 sc
Age at visit:
10 years
OD
OS
20/20 -2 sc
20/20 -2 sc
Show more
OD
OS
20/20 -2 sc
20/20 -2 sc
Age at visit:
11 years
OD
OS
20/20 sc
20/20 -1 sc
Show more
OD
OS
20/20 sc
20/20 -1 sc
Age at visit:
12 years
OD
OS
20/20 sc
20/20 sc
Show more
OD
OS
20/20 sc
20/20 sc
OD
OS
20/20 sc
20/20 sc
Age at visit:
14 years
OD
OS
20/20 sc
20/20 sc
Show more
OD
OS
20/20 sc
20/20 sc
Show more
OD
OS
20/20 sc
20/20 sc
Age at visit:
15 years
OD
OS
20/20 -1 sc
20/20 -1 sc
OD
OS
20/20 -1 sc
20/20 -1 sc
Age at visit:
16 years
OD
OS
20/20 sc
20/20 -1 sc
OD
OS
20/20 sc
20/20 -1 sc
Age at visit:
17 years
OD
OS
20/20 sc
20/20 -2 sc
Show more
OD
OS
20/20 sc
20/20 -2 sc
Age at visit:
18 years
OD
OS
20/20 -1 sc
20/20 -1 sc
Show more
OD
OS
20/20 -1 sc
OCT Stack
20/20 -1 sc
OCT Stack
Show more
OD
OS
20/20 -1 sc
20/20 -1 sc
Show more
Diagnosis & molecular findings
Disease
Gene
Allele 1 variant(s)
Allele 2 variant(s)
Inheritance mode
Tuberous Sclerosis
TSC2
Glu1513Stop GAG>TAG
AD
Disease:
Tuberous Sclerosis
Gene:
TSC2
Allele 1:
Glu1513Stop GAG>TAG
Allele 2:
Inheritance:
AD
Cite this case
Search Diagnostic Tree
Diagnostic Tree
False Genotype Rate:
Gene Count:
Submit Final Diagnosis
Clear Diagnosis
You're volunteering to be called on to describe a case.
How would you like to be addressed?
Please give a short description of where you are from (institution/city).
Volunteer
×
Leaderboard
User
Score