Loading...

SR144

AR Retinitis Pigmentosa (IA1aiii)

Male

Male

SR144

AR Retinitis Pigmentosa (IA1aiii)

Male

Male

Visit at age: 29 years

Fundus Photography - Right - 20/25 +1

Exemplar

Fundus Photography - Left - 20/40

Exemplar

Fundus Montage - Right - 20/25 +1

Exemplar

Fundus Montage - Left - 20/40

Exemplar

Goldmann Visual Field - Right - 20/25 +1

Exemplar

Goldmann Visual Field - Left - 20/40

Exemplar

Visit at age: 30 years

Goldmann Visual Field - Right - 20/25 +1

Exemplar

Goldmann Visual Field - Left - 20/25 -2

Exemplar

Visit at age: 33 years

Fundus Photography - Right - 20/25 +2

Exemplar

Fundus Photography - Left - 20/32 -1

Exemplar

Fundus Montage - Right - 20/25 +2

Exemplar

Fundus Montage - Left - 20/32 -1

Exemplar

Goldmann Visual Field - Right - 20/25 +2

Exemplar

Goldmann Visual Field - Left - 20/32 -1

Exemplar

Optical Coherence Tomography - Right - 20/25 +2

Exemplar / OCT Stack
OCT Stack

Optical Coherence Tomography - Left - 20/32 -1

Exemplar / OCT Stack
OCT Stack

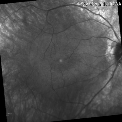
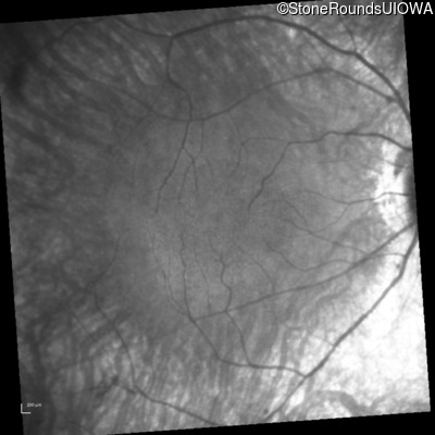
Infrared Fundus Photograph - Right - 20/25 +2

Exemplar

Infrared Fundus Photograph - Left - 20/32 -1

Exemplar

Visit at age: 37 years

Goldmann Visual Field - Right - 20/25 -1

Exemplar

Goldmann Visual Field - Left - 20/32 -1

Exemplar

Optical Coherence Tomography - Right - 20/25 -1

Exemplar / OCT Stack
OCT Stack
OCT Stack

Optical Coherence Tomography - Left - 20/32 -1

Exemplar / OCT Stack
OCT Stack
OCT Stack

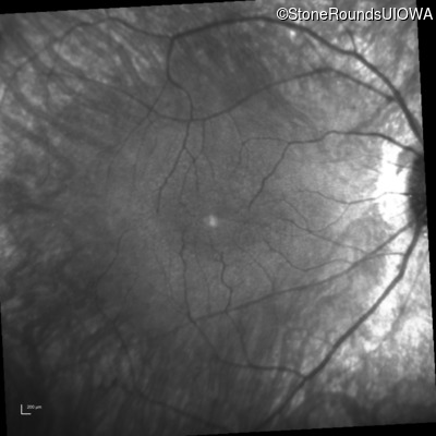
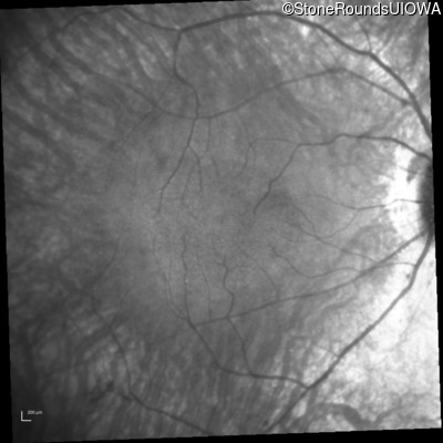
Infrared Fundus Photograph - Right - 20/25 -1

Exemplar

Infrared Fundus Photograph - Left - 20/32 -1

Exemplar

Visit at age: 38 years

Goldmann Visual Field - Right - 20/25 -1

Exemplar

Goldmann Visual Field - Left - 20/32 -2

Exemplar

Optical Coherence Tomography - Right - 20/25 -1

Exemplar / OCT Stack
OCT Stack
OCT Stack

Optical Coherence Tomography - Left - 20/32 -2

Exemplar / OCT Stack
OCT Stack
OCT Stack

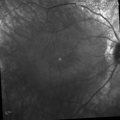
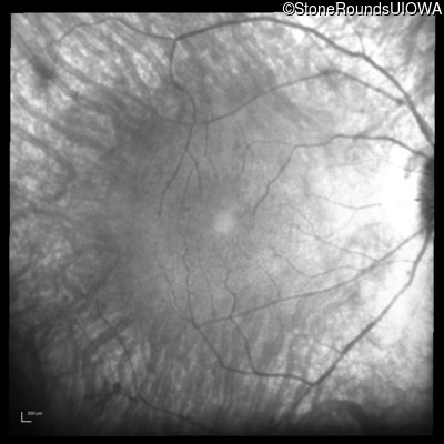
Infrared Fundus Photograph - Right - 20/25 -1

Exemplar

Infrared Fundus Photograph - Left - 20/32 -2

Exemplar

Visit at age: 39 years

Goldmann Visual Field - Right - 20/40 -1

Exemplar

Goldmann Visual Field - Left - 20/50

Exemplar

Visit at age: 41 years

Goldmann Visual Field - Right - 20/40

Exemplar

Goldmann Visual Field - Left - 20/50

Exemplar

Optical Coherence Tomography - Right - 20/40

Exemplar / OCT Stack
OCT Stack
OCT Stack

Optical Coherence Tomography - Left - 20/50

Exemplar / OCT Stack
OCT Stack
OCT Stack

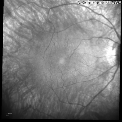
Infrared Fundus Photograph - Right - 20/40

Exemplar

Infrared Fundus Photograph - Left - 20/50

Exemplar

Visit at age: 44 years

Goldmann Visual Field - Right - 20/25 -2

Exemplar

Goldmann Visual Field - Left - 20/40 -2

Exemplar

Optical Coherence Tomography - Right - 20/25 -2

Exemplar / OCT Stack
OCT Stack
OCT Stack

Optical Coherence Tomography - Left - 20/40 -2

Exemplar / OCT Stack
OCT Stack
OCT Stack

Infrared Fundus Photograph - Right - 20/25 -2

Exemplar

Infrared Fundus Photograph - Left - 20/40 -2

Exemplar

Case Level Images

Diagnosis & molecular findings

Disease Gene Allele 1 variant(s) Allele 2 variant(s) Inheritance mode
AR Retinitis Pigmentosa USH2A IVS10-2 A>G Cys3358Tyr TGC>TAC AR
Gene:
Allele 1:
IVS10-2 A>G
Allele 2:
Cys3358Tyr TGC>TAC
Inheritance:
AR
Cite this case