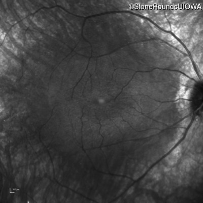
SR144

AR Retinitis Pigmentosa (IA1aiii)

Male

Male

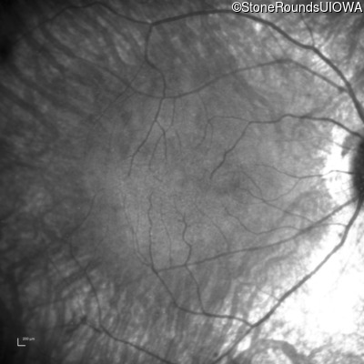
SR144

AR Retinitis Pigmentosa (IA1aiii)

Male

Male

Highlighted Images

Age at visit: 33 years
OD OS

Pedigree

Age at visit: 29 years
Age at visit: 30 years
Age at visit: 33 years
Age at visit: 37 years
Age at visit: 38 years
Age at visit: 39 years
Age at visit: 41 years
Age at visit: 44 years

Diagnosis & molecular findings

Disease Gene Allele 1 variant(s) Allele 2 variant(s) Inheritance mode
AR Retinitis Pigmentosa USH2A IVS10-2 A>G Cys3358Tyr TGC>TAC AR
Gene:
Allele 1:
IVS10-2 A>G
Allele 2:
Cys3358Tyr TGC>TAC
Inheritance:
AR
Cite this case