Loading...

SR67

Enhanced S-Cone Syndrome (IA2fiv)

Female

Female

SR67

Enhanced S-Cone Syndrome (IA2fiv)

Female

Female

Visit at age: 7 years

Fundus Photography - Right - 20/40 -2

Exemplar

Fundus Photography - Left - 20/40 -2

Exemplar

Visit at age: 7 years (Visit 2)

Fundus Photography - Right - 20/30 +2

Exemplar

Fundus Photography - Left - 20/50

Exemplar

Visit at age: 13 years

Fundus Photography - Right - 20/30 -2

Exemplar

Fundus Photography - Left - 20/50 -2

Exemplar

Fundus Montage - Right - 20/30 -2

Exemplar

Fundus Montage - Left - 20/50 -2

Exemplar

Goldmann Visual Field - Right - 20/30 -2

Exemplar

Goldmann Visual Field - Left - 20/50 -2

Exemplar

Visit at age: 18 years

Fundus Photography - Right - 20/40 +2

Exemplar

Fundus Photography - Left - 20/50 -1

Exemplar

Fundus Montage - Right - 20/40 +2

Exemplar

Fundus Montage - Left - 20/50 -1

Exemplar

Goldmann Visual Field - Right - 20/40 +2

Exemplar

Goldmann Visual Field - Left - 20/50 -1

Exemplar

Optical Coherence Tomography - Right - 20/40 +2

Exemplar / OCT Stack
OCT Stack

Optical Coherence Tomography - Left - 20/50 -1

Exemplar / OCT Stack
OCT Stack

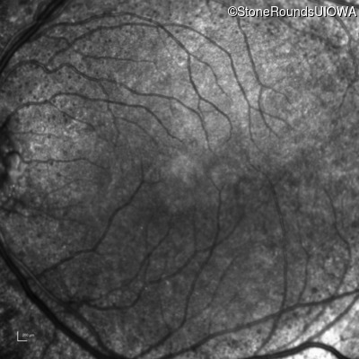
Infrared Fundus Photograph - Right - 20/40 +2

Exemplar

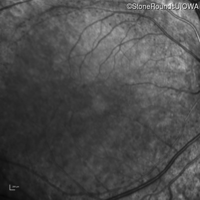
Infrared Fundus Photograph - Left - 20/50 -1

Exemplar

Case Level Images

Diagnosis & molecular findings

Disease Gene Allele 1 variant(s) Allele 2 variant(s) Inheritance mode
Enhanced S-Cone Syndrome NR2E3 IVS1-2 A>C Arg76Trp CGG>TGG AR
Gene:
Allele 1:
IVS1-2 A>C
Allele 2:
Arg76Trp CGG>TGG
Inheritance:
AR
Cite this case