SR67

Enhanced S-Cone Syndrome (IA2fiv)

Female

Female

SR67

Enhanced S-Cone Syndrome (IA2fiv)

Female

Female

Highlighted Images

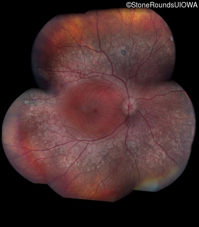
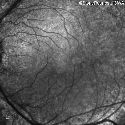
Age at visit: 18 years
OD OS

History

This 18 year old woman has had slightly subnormal acuity and high hyperopia since age 5. Her symptoms of night blindness are weak at best.

Pedigree

Age at visit: 7 years
Age at visit: 7 years (Visit 2)
Age at visit: 13 years
Age at visit: 18 years

Diagnosis & molecular findings

Disease Gene Allele 1 variant(s) Allele 2 variant(s) Inheritance mode
Enhanced S-Cone Syndrome NR2E3 IVS1-2 A>C Arg76Trp CGG>TGG AR
Gene:
Allele 1:
IVS1-2 A>C
Allele 2:
Arg76Trp CGG>TGG
Inheritance:
AR
Cite this case