SR389

Retinitis Pigmentosa with Anemia (IB10)

Male

Male

SR389

Retinitis Pigmentosa with Anemia (IB10)

Male

Male

Highlighted Images

Age at visit: 19 years (Visit 2)
OD OS

History

This 19 year old man experienced periodic high fever as a child. He had no difficulties with his vision until age 19 when some abnormal pigmentation was incidentally discovered or routine fundus examination.

Color Vision:     Correctly identified 11/14 Ishihara pseudoisochromatic plates with the right eye and 12/14 with the left eye.
Refraction OD:     -3.75 +0.75 x 145
Refraction OS:     -3.00 +0.75 x 40

Pedigree

Teaching Points

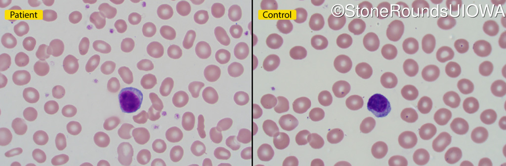
The clinical features favoring the diagnosis of retinitis pigmentosa with anisocytosis include: childhood onset periodic fever; mild anemia; anisocytosis on peripheral blood smear; night blindness and constricted visual fields as his earliest visual symptoms; bone-spicule-like pigmentation and narrowed arterioles on fundus examination; loss of outer retinal structures on OCT; and, normally sighted parents.

Age at visit: 19 years
Age at visit: 19 years (Visit 2)

Diagnosis & molecular findings

Disease Gene Allele 1 variant(s) Allele 2 variant(s) Inheritance mode
Retinitis Pigmentosa with Anemia TRNT1 Thr42 del3acAGA Lys416 del1tggA AR
Gene:
Allele 1:
Thr42 del3acAGA
Allele 2:
Lys416 del1tggA
Inheritance:
AR
Cite this case