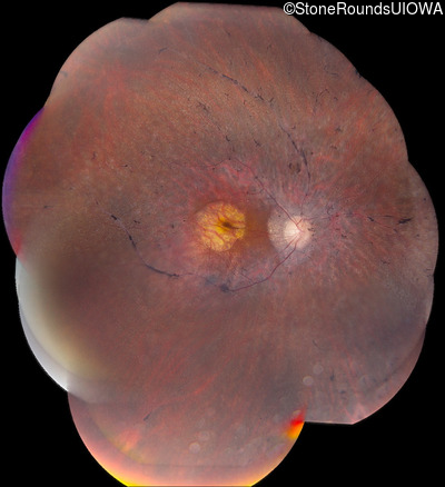
SR3065

AD Retinitis Pigmentosa (IA1aii)

Female

Female

SR3065

AD Retinitis Pigmentosa (IA1aii)

Female

Female

Highlighted Images

Age at visit: 63 years
OD OS

History

This 63 year old woman has had normal vision for most of her life, but recently developed difficulty seeing in dim light.

Pedigree

Age at visit: 63 years
Age at visit: 70 years

Diagnosis & molecular findings

Disease Gene Allele 1 variant(s) Allele 2 variant(s) Inheritance mode
AD Retinitis Pigmentosa SAG Cys147Phe TGT>TTT   AD
Gene:
Allele 1:
Cys147Phe TGT>TTT
Allele 2:
 
Inheritance:
AD
Cite this case