Big 14 Self-Assessment

Case 12


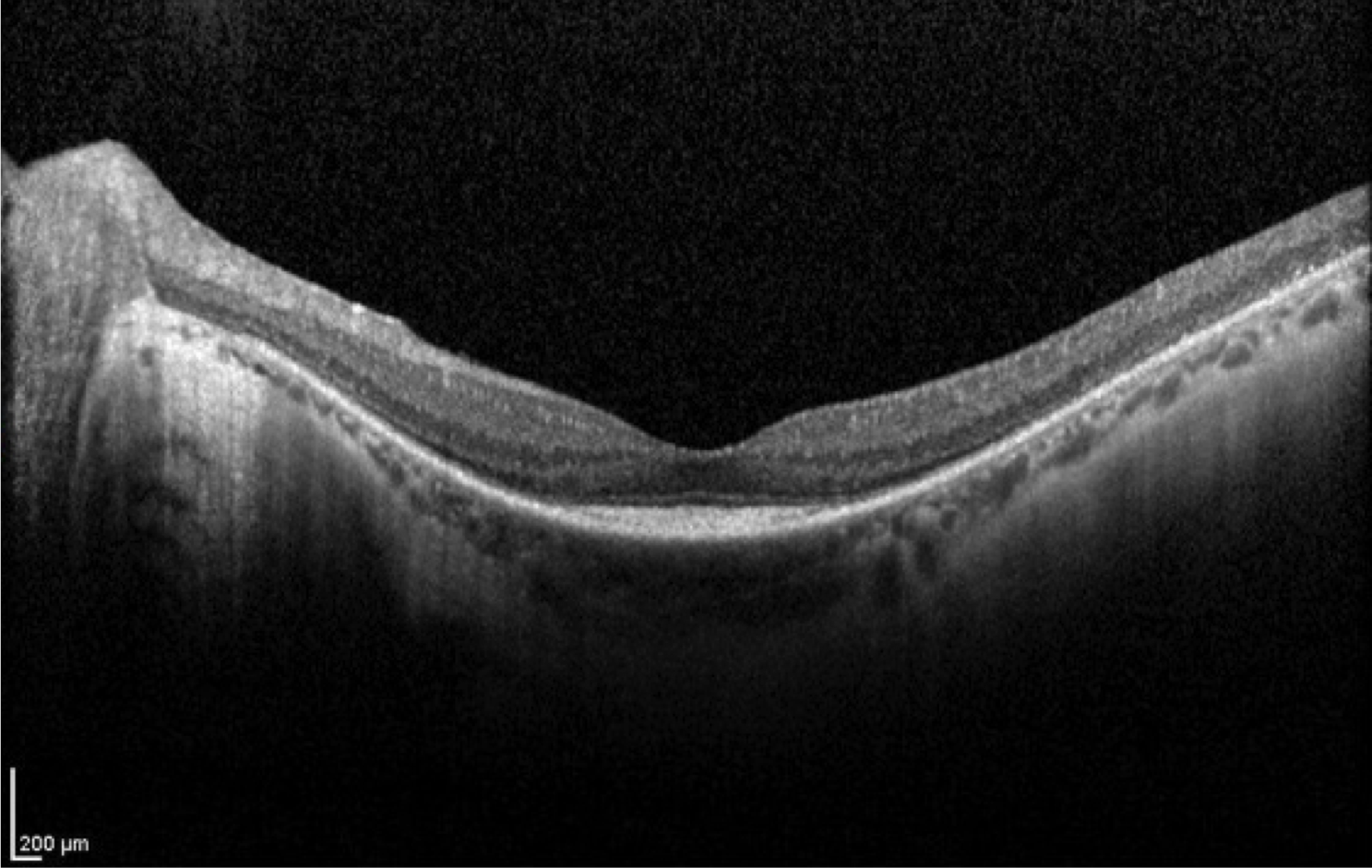
Case 12 is a 49 year old woman with 20/20 acuity. Her sister is similarly affected but her parents have normal acuity.
Color fundus photograph of the left eye.
Optical coherence tomogram of the left eye.
In addition to her eye findings, the patient’s speech is abnormal and she has worn hearing aids in both ears since her hearing loss was first detected in early childhood.

Go to Case 13