SR61

AD Neovascular Inflammatory Vitreoretinopathy (IIIE3)

Female

Female

SR61

AD Neovascular Inflammatory Vitreoretinopathy (IIIE3)

Female

Female


Please Login or Register to download images or create a PowerPoint slideshow.


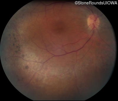
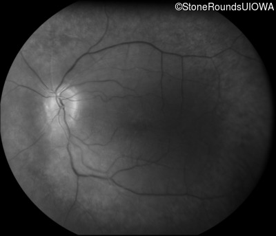
Visit at age: 23 years

Fundus Photography - Right - 20/40

Exemplar

Fundus Photography - Left - 20/30

Exemplar

Fluorescein Angiography - Right - 20/40

Exemplar

Fluorescein Angiography - Left - 20/30

Exemplar

Visit at age: 25 years

Fundus Photography - Right - 20/30

Exemplar

Fundus Photography - Left - 20/30

Exemplar

Visit at age: 28 years

Fundus Photography - Right - 20/20

Exemplar

Fundus Photography - Left - 20/50

Exemplar

Fluorescein Angiography - Right - 20/20

Exemplar

Fluorescein Angiography - Left - 20/50

Exemplar

Visit at age: 29 years

Fundus Photography - Right - 20/25 +2

Exemplar

Fundus Photography - Left - 20/40 -1

Exemplar

Fluorescein Angiography - Right - 20/25 +2

Exemplar

Fluorescein Angiography - Left - 20/40 -1

Exemplar

Visit at age: 29 years (Visit 2)

Fundus Photography - Right - 20/25

Exemplar

Fundus Photography - Left - 20/50

Exemplar

Fluorescein Angiography - Right - 20/25

Exemplar

Fluorescein Angiography - Left - 20/50

Exemplar

Visit at age: 33 years

Goldmann Visual Field - Right - 20/30 +1

Exemplar

Goldmann Visual Field - Left - 20/70

Exemplar

Visit at age: 42 years

Fundus Photography - Right - 20/40 -2

Exemplar

Fundus Photography - Left - 20/400

Exemplar

Fundus Montage - Right - 20/40 -2

Exemplar

Fundus Montage - Left - 20/400

Exemplar

Fluorescein Angiography - Right - 20/40 -2

Exemplar

Fluorescein Angiography - Left - 20/400

Exemplar

Visit at age: 42 years (Visit 2)

Fundus Photography - Right - 20/40 -1

Exemplar

Fundus Photography - Left - 20/300

Exemplar

Visit at age: 43 years

Fundus Photography - Right - 20/40

Exemplar

Fundus Photography - Left - 20/300

Exemplar

Visit at age: 43 years (Visit 2)

Fundus Photography - Right - 20/40

Exemplar

Fundus Photography - Left - 20/250

Exemplar

Visit at age: 43 years (Visit 3)

Fundus Photography - Right - 20/30

Exemplar

Visit at age: 44 years

Fundus Photography - Right - 20/40 -1

Exemplar

Fundus Photography - Left - 20/200

Exemplar

Visit at age: 44 years (Visit 2)

Fundus Photography - Right - 20/60

Exemplar

Fundus Photography - Left - 20/200

Exemplar

Visit at age: 45 years

Fundus Photography - Right - 20/50 +2

Exemplar

Fundus Photography - Left - 20/160

Exemplar

Fluorescein Angiography - Right - 20/50 +2

Exemplar

Fluorescein Angiography - Left - 20/160

Exemplar

Visit at age: 45 years (Visit 2)

Optical Coherence Tomography - Right - 20/50 +2

Exemplar / OCT Stack

Optical Coherence Tomography - Left - 20/160

Exemplar / OCT Stack

Infrared Fundus Photograph - Right - 20/50 +2

Exemplar

Infrared Fundus Photograph - Left - 20/160

Exemplar

Visit at age: 46 years

Optical Coherence Tomography - Right - 20/50 +2

Exemplar / OCT Stack

Optical Coherence Tomography - Left - 20/160

Exemplar / OCT Stack

Infrared Fundus Photograph - Right - 20/50 +2

Exemplar

Infrared Fundus Photograph - Left - 20/160

Exemplar

Visit at age: 46 years (Visit 2)

B-Scan Ultrasonography - Left - unknown

Exemplar

Visit at age: 46 years (Visit 3)

Fundus Photography - Right - 20/50 -3

Exemplar

Fundus Photography - Left - Count Fingers 6"

Exemplar

Optical Coherence Tomography - Right - 20/50 -3

Exemplar / OCT Stack

Optical Coherence Tomography - Left - Count Fingers 6"

Exemplar / OCT Stack

Infrared Fundus Photograph - Right - 20/50 -3

Exemplar

Infrared Fundus Photograph - Left - Count Fingers 6"

Exemplar

Visit at age: 46 years (Visit 4)

Optical Coherence Tomography - Left - Hand Motion

Exemplar / OCT Stack
OCT Stack
OCT Stack
OCT Stack

Infrared Fundus Photograph - Left - Hand Motion

Exemplar

Visit at age: 46 years (Visit 5)

Fundus Photography - Left - Hand Motion

Exemplar

Optical Coherence Tomography - Left - Hand Motion

Exemplar / OCT Stack

Infrared Fundus Photograph - Left - Hand Motion

Exemplar

Visit at age: 46 years (Visit 6)

Optical Coherence Tomography - Left - Count Fingers 3'

Exemplar / OCT Stack

Infrared Fundus Photograph - Left - Count Fingers 3'

Exemplar

Visit at age: 46 years (Visit 7)

Optical Coherence Tomography - Left - Light Perception

Exemplar / OCT Stack
OCT Stack

Infrared Fundus Photograph - Left - Light Perception

Exemplar

Visit at age: 49 years

Goldmann Visual Field - Right - 20/70

Exemplar

B-Scan Ultrasonography - Right - 20/70

Exemplar

B-Scan Ultrasonography - Left - No Light Perception

Exemplar

Visit at age: 50 years

Optical Coherence Tomography - Right - 20/50 -2

Exemplar / OCT Stack
OCT Stack
OCT Stack

Infrared Fundus Photograph - Right - 20/50 -2

Exemplar

Visit at age: 51 years

B-Scan Ultrasonography - Right - 20/400

Exemplar

B-Scan Ultrasonography - Left - No Light Perception

Exemplar

Case Level Images


Please Login or Register to download images or create a PowerPoint slideshow.