SR61

AD Neovascular Inflammatory Vitreoretinopathy (IIIE3)

Female

Female

SR61

AD Neovascular Inflammatory Vitreoretinopathy (IIIE3)

Female

Female

Highlighted Images

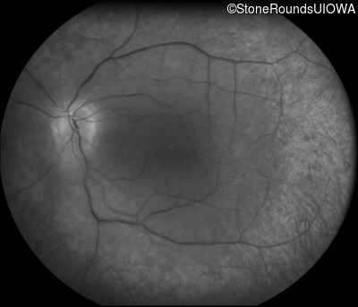
Age at visit: 43 years (Visit 2)
OD OS

History

This 43 year old woman first experienced a slight loss of visual acuity at age 23. Fluorescein angiography at that time revealed some vascular leakage from the optic discs and peripheral retina. The maximum combined response of the ERG revealed a selective loss of the b-wave.

Pedigree

Age at visit: 23 years
Age at visit: 25 years
Age at visit: 28 years
Age at visit: 29 years
Age at visit: 29 years (Visit 2)
Age at visit: 33 years
Age at visit: 42 years
Age at visit: 42 years (Visit 2)
Age at visit: 43 years
Age at visit: 43 years (Visit 2)
Age at visit: 43 years (Visit 3)
Age at visit: 44 years
Age at visit: 44 years (Visit 2)
Age at visit: 45 years
Age at visit: 45 years (Visit 2)
*Acuities for this visit are inferred from other visits in this case.
Age at visit: 46 years
*Acuities for this visit are inferred from other visits in this case.
Age at visit: 46 years (Visit 2)
Age at visit: 46 years (Visit 3)
Age at visit: 46 years (Visit 4)
*Acuities for this visit are inferred from other visits in this case.
Age at visit: 46 years (Visit 5)
Age at visit: 46 years (Visit 6)
Age at visit: 46 years (Visit 7)
Age at visit: 49 years
Age at visit: 50 years
Age at visit: 51 years

Diagnosis & molecular findings

Disease Gene Allele 1 variant(s) Allele 2 variant(s) Inheritance mode
AD Neovascular Inflammatory Vitreoretinopathy CAPN5 Arg243Leu CGC>CTC   AD
Gene:
Allele 1:
Arg243Leu CGC>CTC
Allele 2:
 
Inheritance:
AD
Cite this case